fbpx

Join our Forums

Ask questions, find answers, and connect with our
global medical community.

MSC Home Forums Stump the Chump Histology of the week!

  • Histology of the week!

  • Philip Stone

    Member
    July 27, 2020 at 12:22 pm

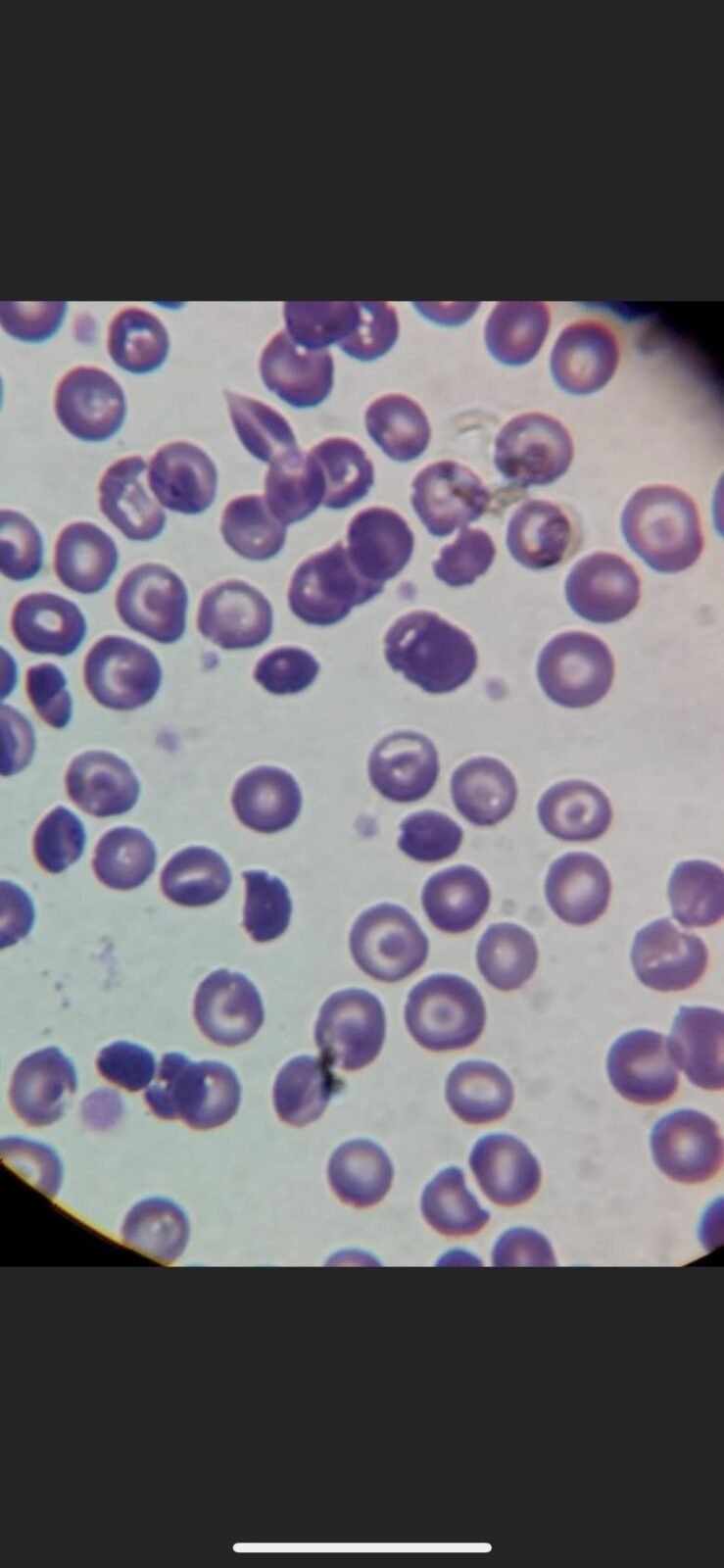
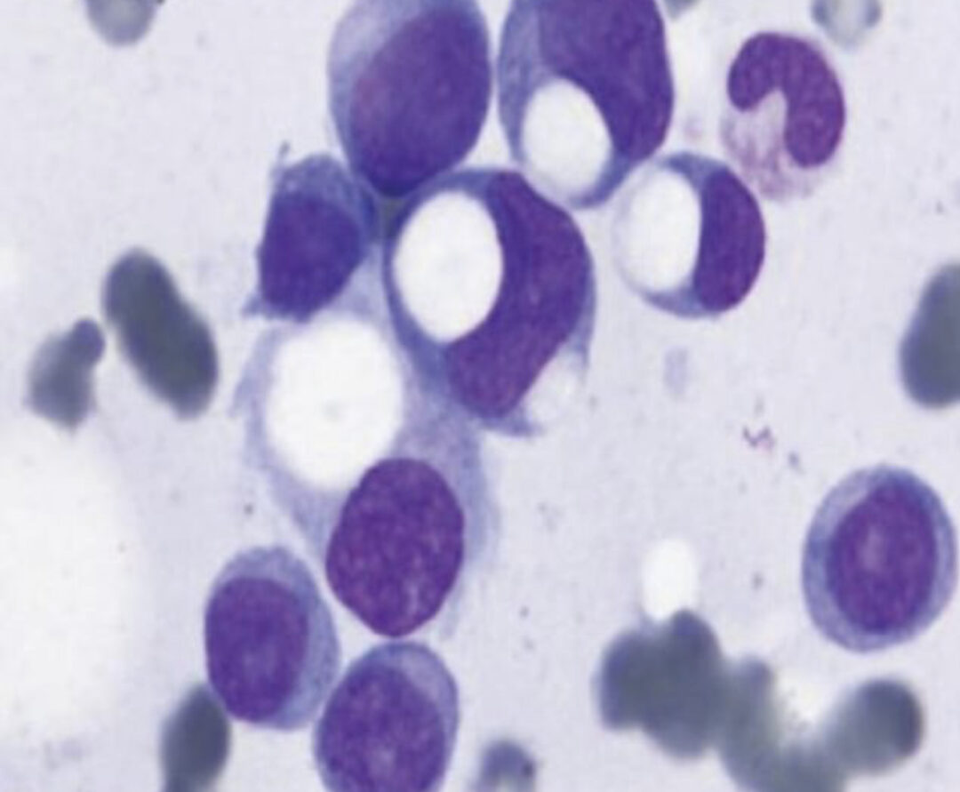
    Check these pics out-what do you see?

    (Not the same patient)

    What pathology would present these findings?

    @allysond @EdD @tarakn @Tre @NOEL @mruebush @drtiz @Ravi @jmoney @Sofia

  • Anonymous

    Deleted User
    July 27, 2020 at 12:57 pm

    @pstone the image on the left looks like a bunch of target cells seen in diseases like thalassemia, HbC, liver disease, asplenia (HALT) but I’m holding back a little bit here because they look a little more basophilic than would be normally appreciated

  • Philip Stone

    Member
    July 27, 2020 at 1:08 pm

    ThumbsupNICE!

    what are your thoughts on the other picture?

  • Anonymous

    Deleted User
    July 29, 2020 at 2:29 pm

    @pstone this one is stumping me. Here’s my thought process so far: it looks like there is lymphocyte with lipid droplets or vacuoles. I think this is hinting at bone marrow location. After that I’m stuck!

  • Sofia

    Member
    August 18, 2020 at 1:17 pm

    The right looks like a monocyte. But I am also stumped as well!

  • Sofia

    Member
    August 18, 2020 at 1:19 pm

    Definitely bone marrow though!

  • Tannaz Safari

    Member
    September 18, 2020 at 8:25 am

    Multiple Myeloma!!!

Viewing 1 - 7 of 7 posts

Log in to reply.

Original Post
0 of 0 posts June 2018
Now